Bệnh hoại tử gan tụy cấp (AHPND) hay còn gọi là Hội chứng tôm chết sớm (EMS) có liên quan đến quản lý môi trường ao nuôi tôm. Các yếu tố có tác động xấu đến môi trường và tạo điều kiện cho bệnh bùng phát như dinh dưỡng và quản lý thức ăn, an toàn sinh học, sức khỏe tôm và đặc biệt là quản lý quần thể vi sinh vật trong ao nuôi dẫn đến sự bùng phát của nhóm vi khuẩn cơ hội Vibrio, trong đó có tác nhân gây bệnh là vi khuẩn Vibrio parahaemolyticus.
Nghiên cứu này được thực hiện nhằm tìm hiểu ảnh hưởng của chế phẩm sinh học Sanolife (INVE Aquaculture) đến khả năng chống lại vi khuẩn gây bệnh EMS/AHPND khi gây cảm nhiễm trên tôm thẻ chân trắng trong điều kiện thí nghiệm.
Tôm dùng cho thí nghiệm
Tôm thẻ chân trắng được cho sinh sản và ương nuôi tại Khoa Thủy sản, Trường Đại học Cần Thơ. Tôm được kiểm tra các mầm bệnh phổ biến như: virus đốm trắng (WSSV), đầu vàng (YHV) và AHPND. Tôm được sử dụng trong thí nghiệm này ở giai đoạn postlarvae 20 - 25, trọng lượng trung bình 1 g/con. Nước biển tự nhiên có độ mặn 25‰.
Vibrio parahaemolyticus gây cảm nhiễm trên tôm
- vi khuẩn Vibrio parahaemolyticus dùng cho thí nghiệm gây cảm nhiễm được đặt tên là LTS14 phân lập trên tôm nhiễm bệnh AHPND ở Việt Nam vào tháng 5/2014. Trước khi thí nghiệm, độc lực của vi khuẩn Vibrio parahaemolyticus được kiểm tra trên tôm (in vivo). Độc lực của vi khuẩn (LD50-60) được mô tả ở Hình 1.

Hình 1: Xác định độc lực của vi khuẩn trên tôm. Dựa trên thí nghiệm này, nồng độ vi khuẩn 2x10^5 CFU/mL được chọn cho thí nghiệm gây cảm nhiễm
Gây cảm nhiễm với vi khuẩn Vibrio parahaemolyticus
Vi khuẩn được nuôi tăng sinh 24 giờ trong môi trường TSB có bổ sung 1,5% muối NaCl ở 280C. Vi khuẩn được pha loãng trong nước biển để đạt được OD tương đương 108 tế bào/mL. Tôm được ngâm 15 phút trong nước có chứa vi khuẩn Vibrio parahaemolyticus ở nồng độ cao 108 tế bào/mL. Sau đó cả tôm và dung dịch vi khuẩn này được chuyển sang bể khác và pha loãng để đạt được các nồng độ vi khuẩn thí nghiệm lần lượt là 105, 2x105, 106, 2x106 tế bào/mL. Bể thí nghiệm không được thay nước sau 2 ngày thí nghiệm.
Thiết kế thí nghiệm
Tôm thí nghiệm được thả nuôi với mật độ 30 con/bể 30 lít, bể thí nghiệm được sục khí liên tục. Các chỉ tiêu môi trường được đo hàng ngày như nhiệt độ 29 ± 10C, pH 7,7±2, NH3 < 0,1 mg/L và ôxy hòa tan là 4 mg/L. Thí nghiệm gồm 5 nghiệm thức với 3 lần lặp lại. Tôm được gây cảm nhiễm với liều lượng 2x105 CFU/mL vi khuẩn V. parahaemolyticus LTS14 ở tất cả các nghiệm thức.
- Nghiệm thức đối chứng âm (NC): Không bổ sung probiotic hoặc kháng sinh, không gây cảm nhiễm tôm với vi khuẩn gây bệnh AHPND.
- Nghiệm thức đối chứng dương (PC): Không bổ sung probiotic hoặc kháng sinh, gây cảm nhiễm tôm với vi khuẩn gây bệnh AHPND.
- Nghiệm thức bổ sung kháng sinh (AB): Bổ sung kháng sinh doxycycline 2 g/kg thức ăn, gây cảm nhiễm tôm với vi khuẩn gây bệnh AHPND.
- Nghiệm thức bổ sung chế phẩm sinh học Sanolife PRO-2 với nồng độ Bacillus 2x108 CFU/g (PRO-2): Bổ sung PRO-2 với liều lượng 10 g/kg thức ăn, gây cảm nhiễm tôm với vi khuẩn gây bệnh AHPND.
- Nghiệm thức bổ sung chế phẩm sinh học Sanolife PRO-W với nồng độ Bacillus 2,5x105CFU/mL (PRO-W): Bổ sung PRO-W với liều lượng 5 mg/L, gây cảm nhiễm tôm với vi khuẩn gây bệnh AHPND.
Các biểu hiện lâm sàng của bệnh AHPND
Sau khi gây cảm nhiễm, các biểu hiện lâm sàng của bệnh trên tôm như: tôm bỏ ăn, màu sắc cơ thể và gan tụy nhợt nhạt được tìm thấy trên 75% tôm ở nghiệm thức đối chứng dương PC sau 24 giờ gây cảm nhiễm. Tôm ở nghiệm thức kháng sinh AB và Sanolife PRO-W cũng có những triệu chứng của bệnh AHPND tương tự như nghiệm thức đối chứng dương PC, nhưng với tỷ lệ thấp hơn (50%). Tôm ở nghiệm thức Sanolife PRO-2 có biểu hiện của bệnh AHPND sau 72 giờ gây cảm nhiễm với tỷ lệ thấp hơn 20%. Dấu hiệu lâm sàng của bệnh AHPND được thể hiện trong Hình 2.

Hình 2: Biểu hiện lâm sàng của tôm sau 48 giờ gây cảm nhiễm vi khuẩn V. parahaemolyticus LTS14. (A): đối chứng âm, (B): đối chứng dương, (C): Sanolife PRO-2
Tỷ lệ chết của tôm
Tỷ lệ chết của tôm ở nghiệm thức đối chứng dương PC xuất hiện chỉ sau 1 ngày gây cảm nhiễm và tỷ lệ chết dồn tích lên đến 52 ± 10% sau 10 ngày (Hình 3). Ở nghiệm thức kháng sinh AB và Sanolife PRO-W, tỷ lệ chết của tôm cũng bắt đầu xuất hiện sau 1 ngày gây cảm nhiễm và tỷ lệ chết dồn tích lần lượt là 32 ± 12% và 34 ± 5% theo thứ tự. Ở nghiệm thức Sanolife PRO-2, tỷ lệ chết của tôm xuất hiện muộn hơn sau 4 ngày gây cảm nhiễm và tỷ lệ chết dồn tích chỉ 17 ± 3% sau 9 ngày gây cảm nhiễm. Tỷ lệ chết dồn tích của tôm ở nghiệm thức Sanolife PRO-2 thấp hơn có ý nghĩa thống kê so với nghiệm thức đối chứng dương và cao hơn nghiệm thức đối chứng âm NC 3± 3%.

Hình 3: Tỷ lệ chết dồn tích của tôm sau khi gây cảm nhiễm vi khuẩn V. parahaemolyticus LTS14. NC: đối chứng âm, PC: đối chứng dương, AB: kháng sinh doxycycline 2 g/kg thức ăn, PRO-2: Sanolife PRO-2: 10 g/kg thức ăn, PRO-W: Sanolife PRO-W: 5 mg/L thức ăn
Biểu hiện mô bệnh họcNhững hình ảnh bên dưới mô tả về các biểu hiện mô bệnh học của tôm sau khi gây cảm nhiễm vi khuẩn ở các nghiệm thức khác nhau.

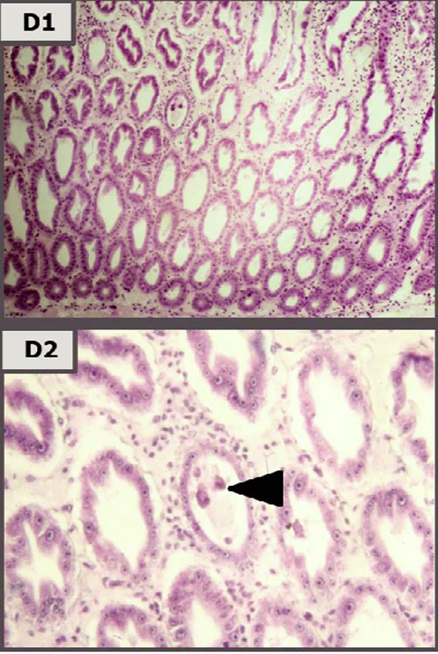
Hình 4A: Nghiệm thức đối chứng âm: Mô gan tụy tôm bình thường với nhiều loại tế bào khác nhau, tế bào B với các không bào rõ ràng

Hình 4B: Nghiệm thức đối chứng dương (mẫu mô gan tụy tôm thu sau khi gây cảm nhiễm tôm 4 ngày): Tế bào biểu mô ống lượng gan tụy bị bong tróc và kết đặc do độc tố của vi khuẩn V. parahaemolyticus

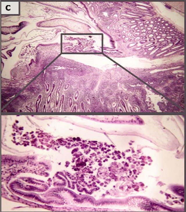
Hình 4C: Nghiệm thức đối chứng dương (mẫu mô gan tụy tôm thu sau khi gây cảm nhiễm tôm 10 ngày): Mức độ nhiễm nặng hơn, ống gan tụy bị vỡ, các tế bào lan ra tới dạ dày tôm kết hợp với việc mất nhiều tế bào quan trọng của gan tụy như tế bào B, F và R

Hình 4D: Sanolife PRO-2 (mẫu mô gan tụy tôm thu sau khi gây cảm nhiễm tôm 10 ngày): Tế bào biểu mô gan tụy cũng có dấu hiệu kết đặc và bong tróc nhưng rất ít (D2). Ống gan tụy có biến dạng so với nghiệm thức đối chứng âm NC và các tế bào biểu mô cũng có dấu hiệu mất đi một ít (chủ yếu là tế bào B)
Nhận định
Nghiên cứu này đã phát triển được một mô hình chuẩn trong việc gây cảm nhiễm vi khuẩn V. parahaemolyticus trên tôm. Điều đặc biệt trong nghiên cứu này là tỷ lệ chết của tôm kéo dài trong nhiều ngày, nó gần giống với các biểu hiện tôm bệnh AHPND trong điều kiện nuôi thực tế. Mô hình gây cảm nhiễm này tối ưu hơn so với các mô hình gây cảm nhiễm vi khuẩn V. parahaemolyticus đã được báo cáo trước đây thường gây chết tôm với tỷ lệ cao trong một thời gian ngắn.
Kết quả nghiên cứu cho thấy chế phẩm sinh học Sanolife PRO-2 và Sanolife PRO-W có ảnh hưởng tích cực đối với tôm nhiễm bệnh AHPND. Tuy nhiên, tương tự như phương pháp điều trị bệnh AHPND với kháng sinh, việc sử dụng chế phẩm sinh học không thể bảo vệ tôm một cách toàn diện với mầm bệnh.
Theo The Global Aquaculture Advocate